Uma das principais doenças da modernidade está muito associada aos hábitos vividos na atualidade, como mexer durante horas no celular sobretudo antes de dormir e a diminuição das atividades físicas, o que causa um sono agitado e uma tendência a picos de ansiedade. Sem contar com o nível de estresse de uma sociedade que não tem mais tempo nem para respirar, o que está ligado diretamente ao apertamento dos maxilares, tornando-o um hábito natural do cotidiano.
O bruxismo é um transtorno inconsciente, em que a pessoa range e aperta os dentes, causando desgaste/fratura nos dentes e sintomas de dor da musculatura mastigatória. Sua evolução causa estalos e crepitações na articulação temporomandibular e, em casos mais severos, o deslocamento da mandíbula fora da articulação.

LEIA MAIS: Dia do Dentista: por um sorriso bonito e saudável
Publicidade
Alguns dos tratamentos envolvem principalmente a devolução da qualidade do sono, medicamentos para ansiedade, diminuição do uso dos aparelhos eletrônicos e aumento de atividade física diária. Para redução dos sintomas de dor, prescrevo relaxantes musculares, anti-inflamatórios e juntamente faço o encaminhamento para um fisioterapeuta para desbloqueio do músculo masseter, sessões de laserterapia e também uso da toxina botulínica para alívio da contratura muscular de mastigação.
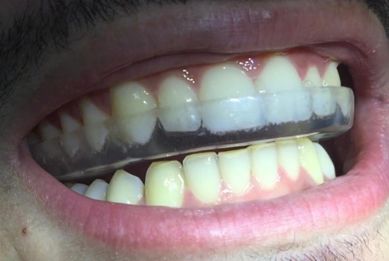
O tratamento do bruxismo é complexo e exige apuramentos de dados, uma anamnese detalhada nas causas e sintomas para chegarmos a uma linha de tratamento. O profissional especializado nesse tratamento deve ter contato direto com psiquiatras, fisioterapeutas e psicólogos, pois o tratamento somente dentário não é totalmente resolutível! Muitos dentistas entregam uma plaquinha e acham que esse é o tratamento! O dispositivo usado na boca, a “plaquinha”, é paliativo, ou seja, apenas para evitar o desgaste dentário.
LEIA TAMBÉM: Você tem bruxismo? Saiba os sintomas e como prevenir
Publicidade
Da parte específica odontológica, o tratamento inicia-se com a verificação do encaixe da mordida, se está correta (se não indicamos a colocação de aparelho ortodôntico para correção da mordida), ajuste oclusal quando aumentamos a dimensão vertical da mordida posterior, devolvendo pontas e desgaste de dentes através de restaurações com resina composta e/ou coroas de porcelana.
E após a conclusão desses procedimentos reabilitadores, se faz molde do paciente para a confecção do dispositivo oclusal “plaquinha”. Onde serão feitos ajustes no dispositivo oclusal, semanais no primeiro mês, quinzenal e mensal. Verificando a redução dos sintomas, o paciente é liberado para ajustes do dispositivo quando são feitos os agendamentos das manutenções de higiene bucal.
LEIA TAMBÉM: Saúde bucal é importante para manter o corpo saudável
Publicidade
Principais sintomas do bruxismo
Entender quais são os sintomas de bruxismo é fundamental para identificar as causas subjacentes e tratar esses desconfortos o mais rápido possível. Com o tratamento certo e a gestão adequada dos fatores que estão causando a doença, é possível aliviar os sintomas do bruxismo e proteger a saúde de seus dentes e mandíbula.
O sintoma mais característico é o ruído provocado pelo ranger dos dentes. Mas vale dizer que nem sempre os ruídos estão presentes, fazendo da condição um mal silencioso. Entre os principais sintomas relatados pelos pacientes que enfrentam o problema estão:
- Dor ou desconforto na mandíbula, pescoço e orelhas.
- Dor de cabeça crônica, muitas vezes na região das têmporas.
- Hipertrofia do masseter (músculo que ajuda no abrir e fechar da boca).
- Amolecimentos nos dentes.
- Dores cervicais.
- Alteração na audição com presença de zumbidos.
- Desgaste anormal dos dentes e rachaduras.
- Sensibilidade dentária.
- Distúrbios do sono, como insônia.
- Dores na ATM (articulação temporomandibular – problemas nas articulações que conectam o crânio à mandíbula).
LEIA AS ÚLTIMAS NOTÍCIAS DO PORTAL GAZ
Publicidade